

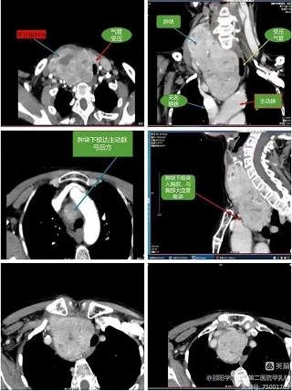
由于该患者肿块巨大,且50%位于胸骨后,肿块最下极达主动脉弓下缘,又因已行两次手术,复发肿块与周围组织粘连,可能需要行胸骨劈开切除术。
为了尽可能避免胸骨劈开给患者带来的创伤,李洲成主任带领的甲乳外科团队与胸外科、麻醉科、影像科、五官科、呼吸内科等多部门专家联合会诊讨论,制定出周密的个体化手术方案及紧急处理措施。

2023年2月28日,由李洲成主任,石斌副主任医师,肖旺发医师等组成的手术小组成功为患者实施了复发胸骨后巨大甲状腺肿块切除术;术中顺利,术后病人恢复良好,无声嘶、面麻抽搐等并发症出现;术后第二日拔除颈部伤口引流管,现已康复出院。

患者术后明显感呼吸顺畅,梗阻感消失。
患者及家属对治疗效果很满意!
健康小贴士
胸骨后甲状腺肿
1、胸内甲状腺肿是指胸骨后或纵隔单纯甲状腺肿大或甲状腺肿瘤。因其位于胸骨后或纵隔内不易被发现,给诊断和治疗带来一定困难。
2、胸内状腺肿占甲状腺疾病的9%~15%,女性多于男性。临床表现为肿块压迫周围器官所致。又可称为坠入性胸腔内甲状腺肿。根据其坠入程度,可分为部分型或完全型。
3、临床主要表现为肿块压迫周围器官引起,若压迫气管起呼吸困难、喘鸣:压迫上腔静脉引起上胸部及颈部表浅静脉怒张,上肢水肿等上腔静脉综合征;压迫食管引起吞咽困难,食管较气管柔软,即使食管受压或移位,仍可躲避肿瘤的压力,以上症状很少出现。症状的轻重与肿块的大小、部位有关,无症状者约占30%。
4、胸内甲状腺肿常有压迫症状,部分有继发性甲状腺功能亢进表现,其恶变倾向大,一旦确诊,应尽早行胸内甲状腺肿及甲状腺肿瘤切除术。手术方法因肿块的部位、深度、形状、大小及与周围器官的关系而异。
提醒:发现甲状腺结节,一定要及时到医院就诊!